Ruptured Ectopic

Ruptured Ectopic Pregnancy | by Dr. I. Farooqui | Bronx, NY

by Dr. Ibrahim Farooqui

20s female with no significant medical history presents with 4 days of left lower quadrant abdominal pain. States she is going through her period right now and has had intermittent spotting for the last 14 days. Exam revealed a well appearing patient with normal vitals, soft abdomen with mild LLQ tenderness. initial labs showed b-HCG 22,000, Patient unaware of pregnancy. 

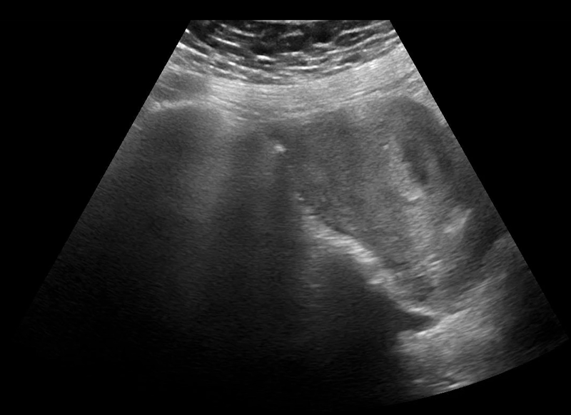
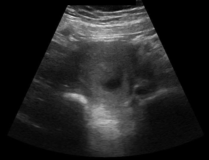
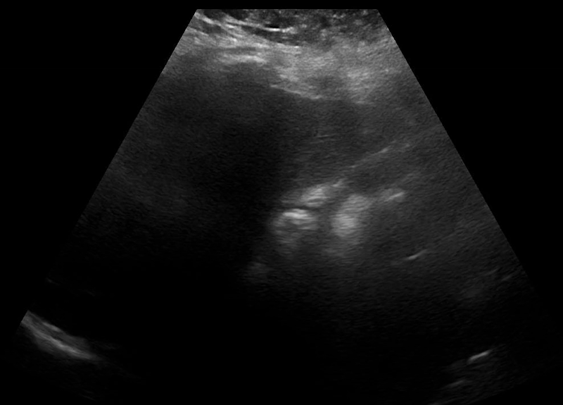
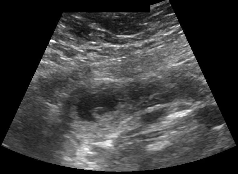
POCUS transabdominal revealed no free fluid in hepatorenal space (image 1), and the uterus without an intrauterine pregnancy (image 2) but with pelvic free fluid (image 3). The left adnexa revealed a gestational sac with a yolk sac (image 4), diagnostic for an ectopic gestation.

Patient was taken to operating room and confirmed "left fallopian tube was grossly enlarged with ruptured and active bleeding noted from the fallopian tube, left fallopian tube starting to rupture at time of surgery". Left salpingectomy was performed via laparoscopy. The patient tolerated the procedure and was discharged home the same day.

Image 1: Hepatorenal space, caudal edge of liver without free fluid.

Image 2: Transverse view of the pelvis with possible gestational sac without a yolk sac, so no intrauterine pregnancy. At the end of the clip a very concerning left adnexal structure comes into view briefly.

Image 3: Sagital pelvic view nows show free fluid posterior to the uterus and again a very concerning adnexal structure concerning for ectopic pregnancy.

Image 4: Now focusing on the left adnexa, there is a clear ectopic pregnancy (an extrauterine gestational sac with yolk sac within).